03
/
Youssef
El-Embaby
Who We Are?
A black-label, personal clinic led by Dr. Youssef El-Embaby—crafting natural, timeless smiles with E-max Swiss Veneers and digital smile design. Precision planning, minimal prep, and results that feel like you… only brighter.
01
02
03
Signature Veneers
Natural-looking smiles crafted with E-max Swiss Veneers—designed to your face, bite, and smile line. Zero exaggeration. Just elegance.
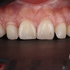
Before & After
Real transformations with proportions, symmetry, and natural translucency.
Videos & Reels
Doctor Youssef at work, patient reviews, and behind-the-scenes veneer prep.
Case Stories
From challenge to result—short reads with materials and timelines, Real transformations with proportions
Premium & direct
Short, cinematic clips from Dr. Youssef El-Embaby’s chair: veneer prep, smile design planning, and real patient reveals. Watch how natural results are crafted—step by step.
Veneers Gallery
Real E-max Swiss Veneers by Dr. Youssef El-Embaby.





The Veneer Guide
A 5-minute read on choosing shades, lengths, and finishes that look believable.
Written by Dr. Youssef El-Embaby—what to expect, how we plan with Digital Smile Design, and care essentials for long-lasting E-max Swiss Veneers.










